Кровоточат десны. Причины и методы лечения

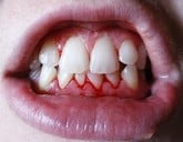
В наше время, наверное, каждый сталкивался с проблемой, когда кровоточат десна, и неизвестно, что послужило тому причиной. Постараемся разобраться, что же является главным фактором кровоточивости дёсен.
1. Неправильная зубная нить или плохо подобранная зубная щётка
2. Заболевание дёсен ( инфекционное и неинфекционное)
3. Заболевание пародонтитом или гингивитом
4. Нарушенный гормональный фон
Теперь, рассмотрим детально каждую из причин и выявим способы лечения.
Если, причина кровоточивости дёсен кроется в жесткости зубной щётки или в неправильном обращении с зубной нитью, решить возникнувшую проблему будет достаточно просто. Необходимо всего лишь сменить средство гигиены и проблема решиться сама. Ткани дёсен заживают быстро, поэтому поводов для беспокойства нет.
Если дёсны кровоточат постоянно, вне зависимости от того, какие на них оказывались воздействия, это свидетельствует об образовании заболевания дёсен. Парадонтит и гингивит, самые распространённые болезни дёсен. Их лечат с помощью удаления зубного камня и курса антибиотиков.
Бывает, что кровоточивость дёсен является первым признаком более опасного, инфекционного заболевания. Например, при развитии цинги, анемии, лейкемии, диабете или гемофилии, первую реакцию организма, можно наблюдать исходя из состояния дёсен.
Ещё одной причиной кровоточивости дёсен, может стать нарушения гормонального фона. Когда женщина носит ребёнка, организм её полностью перестраивается, уровень некоторых гормонов повышается, а других — падает, что тоже может стать причиной кровоточивости.
Принимающим гормональные таблетки тоже, стоит сменить их на другие препараты, в случае, если кровоточат дёсны.
Можно сделать вывод, что чем бы ни была вызвана кровоточивость дёсен, необходимо выявить причину, чтобы в дальнейшем, по возможности её устранить. Не затягивайте с лечением и предпринимайте профилактические меры.
Смотрите по теме:
Потерянные зубы сами не вырастут. Протезирование
Эффективность ортодонтии
Далее — Сколиоз грудного отдела позвоночника
Вернуться в меню раздела